Hệ Thống X-Quang CBCT Papaya 3D Plus – Tầm Nhìn Xuyên Thấu, Chẩn Đoán Chuẩn Xác
Chinh phục những ca lâm sàng phức tạp nhất với công nghệ hình ảnh 3D đa vùng chụp, mang đến sự tự tin tuyệt đối cho Bác sĩ và sự an tâm tối đa cho bệnh nhân.

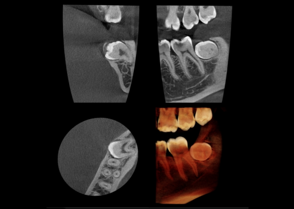
1. Hơn cả một thiết bị chụp phim, đây là “Bản đồ phẫu thuật” của Bác sĩ
Trong kỷ nguyên nha khoa kỹ thuật số, chẩn đoán dựa trên phim 2D đã không còn đủ để kiểm soát các rủi ro giải phẫu. Papaya 3D Plus (Genoray – Hàn Quốc) là hệ thống hình ảnh 3 trong 1 (CBCT, Panorama, Cephalometric) được thiết kế để cung cấp dữ liệu lâm sàng với độ nét cao, không biến dạng, giúp Bác sĩ:
-
Đo lường chính xác mật độ xương và thể tích xương hổng.
-
Xác định rõ ràng đường đi của ống thần kinh răng dưới (IAN) và ranh giới xoang hàm.
-
Phát hiện các tổn thương nội nha, nang nứt chân răng mà X-quang thường bỏ sót.
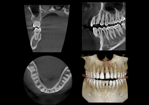
2. Ưu điểm lâm sàng vượt trội: Độ chính xác định hình đẳng cấp
Thay vì phải dự đoán, Papaya 3D Plus trao cho Bác sĩ quyền kiểm soát hoàn toàn ca điều trị thông qua các công nghệ cốt lõi:
-
Tùy chọn đa vùng chụp (Multi-FOV): Linh hoạt thay đổi trường nhìn từ nhỏ đến lớn, phục vụ đích đáng cho từng chỉ định lâm sàng, hạn chế tia X dư thừa.
-
FOV nhỏ (4×5, 5×5): Tối ưu cho Nội nha, độ phân giải cực cao để tìm ống tủy phụ, đánh giá nứt gãy.
-
FOV trung bình (8×8, 14×8): Hoàn hảo cho cấy ghép Implant toàn hàm, nhổ răng khôn ngầm.
-
FOV lớn (16×14): Dành riêng cho phẫu thuật hàm mặt, chỉnh nha toàn diện.
-
-
Cảm biến Flat Panel Detector (CMOS): Thu nhận hình ảnh sắc nét đến từng Voxel, giảm thiểu tối đa hiện tượng nhiễu tán xạ (Artifact) từ các phục hình kim loại cũ trong miệng bệnh nhân.
-
An toàn là trên hết (Low Dose Concept): Chế độ chụp liều tia thấp (Ultra Fast Scan) giúp giảm thiểu phơi nhiễm bức xạ, đặc biệt an toàn khi chỉ định chụp cho trẻ em trong chỉnh nha.

3. Phần mềm mô phỏng 3D Triana – Trợ thủ “Chốt ca” đắc lực
Thiết bị phần cứng xuất sắc đi kèm với phần mềm quản lý hình ảnh chuyên nghiệp.
-
Tích hợp sẵn thư viện Implant khổng lồ từ các hãng trên thế giới.
-
Cho phép Bác sĩ cắm trụ Implant ảo (Virtual Placement), vẽ ống thần kinh và xuất file báo cáo lâm sàng trực quan.
-
Hình ảnh 3D sống động giúp bệnh nhân dễ dàng hiểu được tình trạng bệnh lý của mình, từ đó tăng tỷ lệ đồng ý tiếp nhận điều trị (Case Acceptance Rate).

4. Thông số kỹ thuật nổi bật
-
Hãng sản xuất: Genoray (Hàn Quốc)
-
Chế độ chụp: CT 3D / Pano / Cepho (Tùy chọn)
-
Kích thước Voxel:
-
Thời gian quét: Chụp Pano chỉ 2 giây, CT nhanh chóng hạn chế rung lắc do cử động của bệnh nhân.
-
Tư thế bệnh nhân: Đứng, Ngồi hoặc Xe lăn (Thiết kế công thái học tiếp cận dễ dàng).

5. Tại sao nên đầu tư CBCT Papaya 3D Plus cùng chúng tôi?
Đầu tư CBCT không chỉ là mua một cỗ máy, mà là chọn một đối tác đồng hành. Chúng tôi mang đến cho phòng khám của bạn giải pháp trọn vẹn:
-
Hỗ trợ lâm sàng chuyên sâu: Hướng dẫn trực tiếp Bác sĩ và đội ngũ phụ tá cách khai thác tối đa các công cụ trên phần mềm, từ đọc phim đến lập kế hoạch Implant an toàn.
-
Lắp đặt & Hiệu chuẩn chuẩn xác: Đội ngũ kỹ thuật viên am hiểu thiết bị đảm bảo máy vận hành với thông số chuẩn xác nhất ngay từ ngày đầu tiên.
-
Bảo hành & Xử lý sự cố 24/7: Luôn sẵn sàng hỗ trợ kỹ thuật để phòng khám vận hành trơn tru, không gián đoạn.
Đừng để những rủi ro giải phẫu làm cản trở sự phát triển của phòng khám. Khám phá ngay giải pháp hình ảnh 3D đỉnh cao để nâng tầm chất lượng điều trị!
👉 LIÊN HỆ TƯ VẤN CẤU HÌNH & NHẬN BÁO GIÁ LẮP ĐẶT














